尝试印章法树脂充填一例

共 511字,需浏览 2分钟

 ·

2021-01-22 16:18

听说印章法树脂充填很长时间了,从来没实操过。今天遇到合适的病例,尝试了一下,踩了好多坑,跟大家分享一下。

ee5486c8cafce241f003bc736849d64a.webp

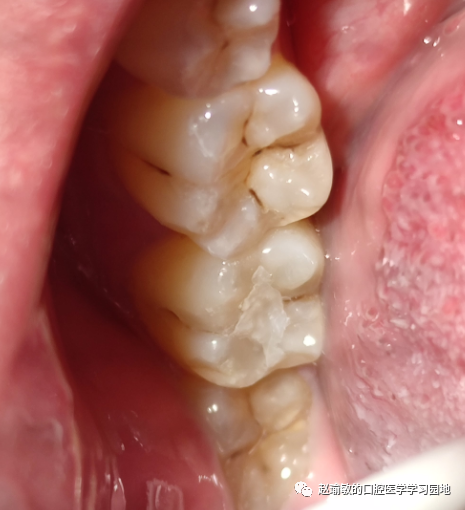
左下7颌面窝沟龋坏,颊沟处也有,已经去了龋。颌面没有去龋。

a37647502bb357a0cd809869cfea82e6.webp

颌面放上流体树脂,这里是第一个坑了,要用粘接剂毛刷等按在流体树脂里再光固化。我就是没有放东西,光固化10秒,结果发现很难取下来,只能硬抠+快机磨。最后抠下来了,但是舌侧那部分印章断了。

这是抠下来的印章。

2a2a1eabf15615b3d1e152d2a9fe16b7.webp

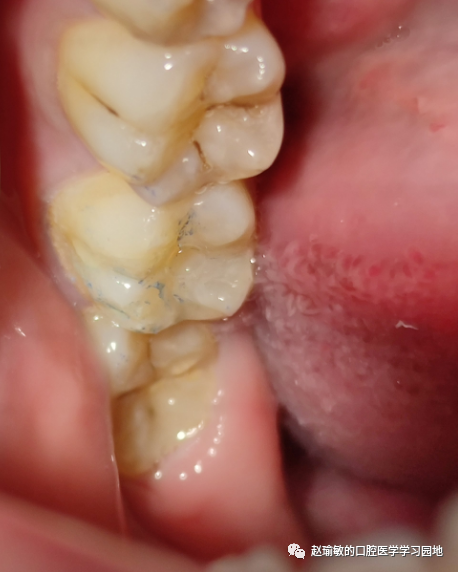
然后常规去龋,涂粘接剂,放树脂。然后把印章压到窝洞里。压之前应该在树脂和印章之间放个膜的,我没放,直接压了。然后把印章拿走,修形,光固化。还行,但是还是调了半天颌。这是第二个坑。

03884b9f0f8fbb2a6978fd8b35e2de0d.webp

这就是我的一个简单的印章法树脂充填病例。第一次有很多缺憾,相信下一次会更好。补了7颗的,这只是其中一颗用了印章法的。




我发文章的三个地方,欢迎大家在朋友圈等地方分享,欢迎点“在看”。

我的个人博客地址:https://zwdnet.github.io

我的知乎文章地址:https://www.zhihu.com/people/zhao-you-min/posts

我的微信个人订阅号:赵瑜敏的口腔医学学习园地


浏览 110
点赞
评论
收藏
分享

手机扫一扫分享

分享
举报
评论
图片
表情
推荐
点赞
评论
收藏
分享

手机扫一扫分享

分享
举报